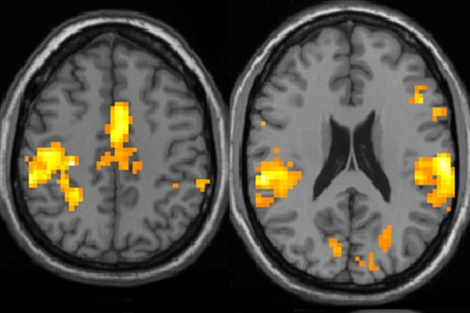
- Estos pacientes tienen más activas las áreas cerebrales asociadas al dolor
- El tratamiento se basa en los fármacos, el ejercicio y la terapia psicológica
La fibromialgia lleva
poco más de 20 años reconocida como enfermedad. Hasta ese momento, los
pacientes no tenían un nombre para su dolor y fatiga crónicos. Actualmente,
todavía son muchas las lagunas sobre este trastorno. ¿Qué lo genera? ¿Qué papel
juegan los genes? ¿Cuál es el mejor tratamiento? Los estudios de imagen
funcional muestran que estos pacientes procesan de forma diferente el dolor. El
doctor Richard Gracely, del Centro de Investigación en Fatiga y Dolor Crónico
Georgetown (Washington, EEUU), fue el primero en demostrar que las áreas
involucradas en el procesamiento de los estímulos dolorosos son las mismas en
estas personas pero tienen una mayor actividad.
Narcis Cardoner, del
Centro de Investigación Biomédica en Red de Salud Mental y psiquiatra del
Hospital Universitario de Bellvitge, ha participado en un estudio, publicado en
'PLoS One', que ha buscado caracterizar la respuesta cerebral frente al dolor de
estos pacientes. "Lo que hemos encontrado es que, tras administrar
estímulos de forma térmica a estas personas (que ellos vivían como si tuvieran
pequeños pinchazos), se activan las regiones del cerebro puramente sensitivas,
las que reflejan la sensación del dolor, y otro conjunto de zonas que tienen
que ver con la respuesta emocional negativa. Estos pacientes presentan
un exceso de respuesta en estas áreas emocionales, como es el cíngulo y la
ínsula, no tanto en las zonas relacionadas con sentir el dolor".
Aunque todavía no los
expertos no pueden asegurar si esto es una característica que hace más
vulnerables a estas personas a sufrir dolor o si se trata de una consecuencia
al hecho de sufrir un dolor crónico, los estudios de resonancia funcional sí
que sirven para eliminar el estigma de la enfermedad. "Están objetivando
algo que no puede desencadenar de forma subjetiva el paciente. No se
trata de un invento", afirma Cardoner.
¿Pacientes mal tratados?
El tratamiento también
es otro hándicap de estos pacientes ya que no hay ningún fármaco que cure y
además muchos reciben medicamentos que no les alivian. "Los únicos
fármacos que funcionan son los antiepilépticos y antidepresivos, no por su
efecto antidepresivo sino por su acción sobre el sistema nervioso central. Y su
eficacia es relativamente baja. Los antiinflamatorios y los analgésicos
opioides no van bien, aunque son los medicamentos que más toman estos
pacientes", señala José María Gómez Argüelles, coordinador del Comité
ad-hoc para el Estudio de la Fibromialgia de la Sociedad Española de
Neurología.
El exceso de
analgésicos y antiinflamatorios se debe a que los síntomas de la fibromialgia
son múltiples y variados y al tiempo que pasan sin un diagnóstico certero.
"Los antiinflamatorios se consumen a manos llenas y no están
indicados. Habría que erradicarlos inmediatamente. Lo mismo ocurre con los
analgésicos opioides (parches de fentanilo, mórficos, etc.), que son fármacos
que tratan dolores agudos, pero no para crónicos de tipo neuropático",
afirma Javier Rivera, miembro del grupo de fibromialgia de la Sociedad Española
de Reumatología.
José Francisco Tinao,
director médico de la Clínica Medicina Integrativa, destaca la importancia
de abordar al paciente en su conjunto. "La Medicina
Integrativa, que surge en Estados Unidos en los 90, se ocupa mucho de los
aspectos nutricionales e incorpora las medicinas alternativas que permiten
reducir la cantidad de medicación que toma el paciente, al que atiende no sólo
sus aspectos biológicos sino también los mentales y espirituales. Es como
volver al médico de pueblo".
Esta disciplina
incorpora técnicas como la acupuntura y la homeopatía, que buscan mejorar la
calidad de vida del paciente. "La propia atención y escucha pueden
beneficiarles. Estos pacientes se quejan de estar marginados y ser considerados
falsos enfermos", añade Tinao.
Fuente: http://www.elmundo.es/elmundosalud/2012/05/11/noticias/1336756365.html a través de http://www.fibroamigosunidos.com/t22602-fibromialgia-nuevas-investigaciones

